Sean Yu, DDS - Irvine Family Dental Group

Services Offered ​

About the Business

General Dentistry, Cosmetic Dentistry, Family Dentistry, Conservative Dentistry.

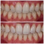
Photos

Day Hours
Mon 8:00 AM - 6:00 PM
Tue 8:00 AM - 6:00 PM
Wed 8:00 AM - 6:00 PM
Thu 9:00 AM - 6:00 PM
Fri 7:00 AM - 3:00 PM
Sat Closed
Sun Closed
Day Hours
Mon 9:00 AM - 5:00 PM
Tue 9:00 AM - 5:00 PM
Wed 9:00 AM - 5:00 PM
Thu 9:00 AM - 5:00 PM
Fri Closed
Sat Closed
Sun Closed

Crossroads Dental - Irvine

Services Offered ​

About the Business

We pride ourselves in high-quality general and cosmetic dentistry, with emphasis on total patient comfort. We provide same day emergency treatment, use low-radiation digital X-Rays, as well as focus on relieving TMJ pain caused by grinding using anti-bruxism appliances and special exercises. Our practice offers a wide range of dental services in a pleasant, comfortable environment. The flexibility and range of services saves you time and prevents referrals to other specialties. Our emphasis is on total preventive care for our patients. Total care begins with regular hygiene visits, check-ups and continued oral

Photos

Irvine Modern Dentistry

Services Offered ​

About the Business

About us and our philosophy: At Irvine Modern Dentistry, we’ve designed our practice with our patients in mind. Dr. Jerome Tsang made a conscious effort to design the practice to not only provide the most advanced care for his patients, but also the most comfortable experience for them when they visit. By coming these two elements, we strive to provide the absolute best experience for our patients. Our philosophy of care governs everything we do for you. It consists of the following key elements: We are truly caring about our patients and want you to feel comfortable during your entire visit. We recognize that each patient is an individual and our goal is to help you retain your teeth in comfort, function and esthetics for a lifetime.

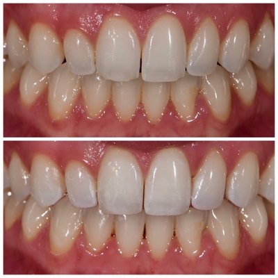
Photos

Day Hours
Mon 8:30 AM - 6:00 PM
Tue 8:30 AM - 5:30 PM
Wed 8:30 AM - 5:30 PM
Thu 8:30:00 AM - 5:30 PM
Fri 8:30 AM - 5:30 PM
Sat Closed
Sun Closed
Day Hours
Mon 9:00 AM - 6:00 PM
Tue 9:00 AM - 6:00 PM
Wed 9:00 AM - 6:00 PM
Thu 9:00 AM - 6:00 PM
Fri Closed
Sat Closed
Sun Closed

Quan M Tran, DMD

Services Offered ​

About the Business

General Dentistry with an emphasis on Preventive Dentistry.Dr. Quan Tran graduated from the Kornberg School of Dentistry in Philadelphia (1989) and has been serving the Irvine community for over 25 years. He practices a preventative, conservative, and individualized approach to oral care to minimize invasive procedures and preserve the natural tooth structure whenever possible.

Photos

Joanna Jefferson, DDS - Tooth Love

Services Offered ​

About the Business

Dr. Joanna Jefferson founded Tooth Love with patient comfort and the environment in mind. Tooth Love uses advanced technology and eco-conscious practices to elevate your dental experience while reducing plastic waste.

Photos

Day Hours
Mon 9:00 AM - 6:00 PM
Tue 9:00 AM - 6:00 PM
Wed 9:00 AM - 6:00 PM
Thu 9:00 AM - 6:00 PM
Fri Closed
Sat Closed
Sun Closed